 
  
	内科理论与实践 ›› 2025, Vol. 20 ›› Issue (04): 319-321.doi: 10.16138/j.1673-6087.2025.04.11
        
               		刘美兰a, 王领a, 杨蓉a, 王嘉乐a, 涂慧敏a, 李慧凛a,b( )
)
                  
        
        
        
        
    
收稿日期:2024-11-20
									
				
									
				
									
				
											出版日期:2025-07-31
									
				
											发布日期:2025-10-27
									
			通讯作者:
					李慧凛 E-mail: 基金资助:
        
               		LIU Meilana, WANG Linga, YANG Ronga, WANG Jialea, TU Huimina, LI Huilina,b( )
)
			  
			
			
			
                
        
    
Received:2024-11-20
									
				
									
				
									
				
											Online:2025-07-31
									
				
											Published:2025-10-27
									
			摘要:
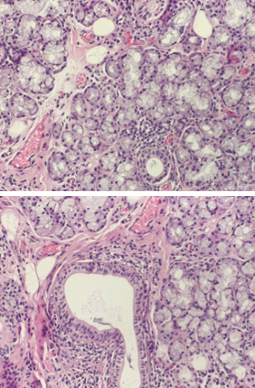
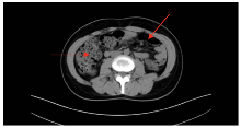
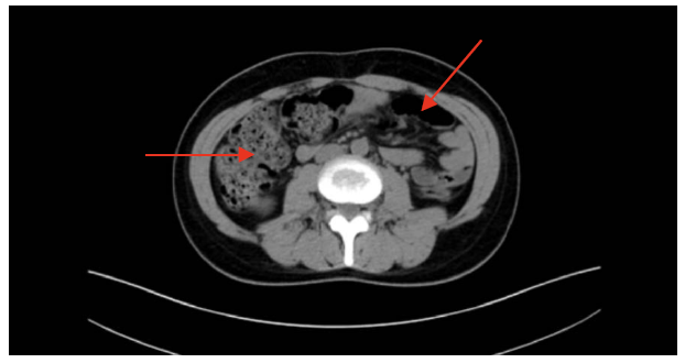
干燥综合征(Sjögren syndrome, SS)是一种以外分泌腺受累为主的系统性自身免疫性疾病,临床表现多样,易被误诊。本文报道1例以假性肠梗阻(intestinal pseudo-obstruction, IPO)为首发症状的SS病例。患者为31岁女性,因恶心、呕吐伴排便停止就诊,影像学提示结肠积粪但无机械性梗阻证据,血清学检测显示抗SSA/SSB/Ro-52抗体阳性,唇腺活检符合SS特征。经糖皮质激素及免疫调节治疗后症状缓解。本病例提示,SS可表现为非典型胃肠及神经系统症状,临床中需结合自身抗体检测及多学科评估以提高诊断准确性。
中图分类号:
刘美兰, 王领, 杨蓉, 王嘉乐, 涂慧敏, 李慧凛. 以假性肠梗阻为首发表现的干燥综合征1例[J]. 内科理论与实践, 2025, 20(04): 319-321.
LIU Meilan, WANG Ling, YANG Rong, WANG Jiale, TU Huimin, LI Huilin. A case of Sjögren syndrome with intestinal pseudo-obstruction as the initial symptom[J]. Journal of Internal Medicine Concepts & Practice, 2025, 20(04): 319-321.
| [1] | Brito-Zerón P, Retamozo S, Ramos-Casals M. Sjögren syndrome[J]. Med Clin (Barc), 2023, 160(4):163-171. | 
| [2] | 李慧敏, 余陈欢, 黄燕静, 等. 400例干燥综合征患者临床并发症的特点分析[J]. 国际流行病学传染病学杂志, 2019, 46(3):247-250. | 
| Li HM, Yu CH, Huang YJ, et al. Characteristics of clinical complications in 400 patients with Sjogren’s syndrome[J]. Int J Epidemiol Infect Dis, 2019, 46(3):247-250. | |
| [3] | 陈金梅, 曾安祥. 以假性肠梗阻为首发症状的干燥综合征1例[J]. 中国校医, 2023, 37(7):553-554. | 
| Chen JM, Zeng AX. A case of Sjögren’s syndrome with pseudointestinal obstruction as the first symptom[J]. Chin J School Doctor, 2023, 37(7):553-554. | |
| [4] | 程昉, 赵福涛, 沈雪敏, 等. 原发性干燥综合征多学科诊疗专家共识(2024版)[J]. 内科理论与实践, 2024, 19(6): 357-362. | 
| Cheng F, Zhao FT, Shen XM, et al. Expert consensus on multidisciplinary diagnosis and treatment of primary Sjögren syndrome (2024 ed)[J]. J Intern Med Concepts Pract, 2024, 19(6): 357-362. | |
| [5] | Shiboski CH, Shiboski SC, Seror R, et al. 2016 American College of Rheumatology/European League Against Rheumatism Classification Criteria for primary Sjögren’s syndrome[J]. Arthritis Rheumatol, 2017, 69(1):35-45. | 
| [6] | 王也, 聂英坤. 结缔组织病相关性假性肠梗阻的研究进展[J]. 疑难病杂志, 2019, 18(3):311-314. | 
| Wang Y, Nie YK. Research progress of connective tissue disease-related pseudointestinal obstruction[J]. Chin J Diffic and Compl Cas, 2019, 18(3):311-314. | |
| [7] | 方均燕, 宋阿会, 刘英莉, 等. 以假性肠梗阻为首发表现的原发性干燥综合征合并桥本甲状腺炎并文献复习[J]. 重庆医学, 2019, 48(5):898-900. | 
| Fang JY, Song AH, Liu YL, et al. Primary Sjögren’s syndrome with pseudo-obstruction as the initial manifestation complicated with Hashimoto’s thyroiditis[J]. Chong-qing Med, 2019, 48(5):898-900. | |
| [8] | Liu C, Lio KU, Le Y, et al. Acute intestinal pseudo-obstruction secondary to Sjogren’s syndrome in pregnancy: a case report and literature review[J]. BMC Pregnancy Childbirth, 2023, 23(1):473. | 
| [9] | 陈爱凤, 沈晓强, 谢文君, 等. 以双侧胸腔积液为首发表现的原发性干燥综合征一例报道并文献复习[J]. 中国全科医学, 2019, 22(17):2136-2140. doi: 10.12114/j.issn.1007-9572.2018.00.211 | 
| Chen AF, Shen XQ, Xie WJ, et al. Primary Sjogren’s syndrome with bilateral pleural effusion as the initial manifestation:a case report and literature review[J]. Chinese General Practice, 2019, 22(17):2136-2140. | |
| [10] | Perzyńska-Mazan J, Maślińska M, Gasik R. Neurological manifestations of primary sjögren’s syndrome[M]. Poland: Reumatologia Termedia Publishing House Ltd, 2018:99-105. | 
| [11] | Berkowitz AL, Samuels MA. The neurology of Sjogren’s syndrome and the rheumatology of peripheral neuropathy and myelitis[J]. Pract Neurol, 2014, 14(1):14-22. doi: 10.1136/practneurol-2013-000651 pmid: 24307005 | 
| [12] | Barsottini OGP, Moraes MPM, Fraiman PHA, et al. Sjogren’s syndrome: a neurological perspective[J]. Arq Neuropsiquiatr, 2023, 81(12):1077-1083. | 
| [13] | Popescu A, Hickernell J, Paulson A, et al. Neurological and psychiatric clinical manifestations of sjögren syndrome[J]. Curr Neurol Neurosci Rep, 2024, 24(8):293-301. | 
| [14] | Kranthi D, Banerjee D, Dahale A, et al. Systemic lupus erythematosus unmasked: Intestinal pseudo- obstruction as the first presentation[J]. BMJ Case Rep, 2025, 18(2):e263491. | 
| [15] | Nyabera A, Elfishawi M, Cuevas F, et al. Intestinal pseudo-obstruction as the initial clinical presentation in systemic lupus erythematosus: a rare and severe disorder[J]. Case Rep Gastrointest Med, 2020, 2020:8873917. | 
| [16] | Ramos-Casals M, Brito-Zerón P, Bombardieri S, et al. EULAR recommendations for the management of Sjögren’s syndrome with topical and systemic therapies[J]. Ann Rheum Dis, 2020, 79(1):3-18. doi: 10.1136/annrheumdis-2019-216114 pmid: 31672775 | 
| [1] | 陈亚冰, 高洁, 徐霞, 赵东宝. 改良开放式创口唇腺活检术在干燥综合征患者临床应用相关研究[J]. 内科理论与实践, 2025, 20(04): 312-315. | 
| [2] | 程昉, 赵福涛, 沈雪敏, 李瑾, 陈向军, 王桂芳, 李慧凛, 薛鸾, 齐军元. 原发性干燥综合征多学科诊疗专家共识(2024版)[J]. 内科理论与实践, 2024, 19(06): 357-362. | 
| [3] | 苏传昕, 朱振航, 王旺, 梁容珍, 郑颂国, 赵福涛. 间充质干细胞在系统性风湿病中的应用:现状与前景[J]. 内科理论与实践, 2024, 19(06): 422-426. | 
| [4] | 范凯健, 刘金渝, 赵福涛. 重视干燥综合征的早期诊断[J]. 内科理论与实践, 2024, 19(06): 417-421. | 
| [5] | 黄敏, 左莹. 以低钾血症首发症状的原发性干燥综合征致I型肾小管酸中毒1例报道[J]. 诊断学理论与实践, 2024, 23(06): 624-627. | 
| [6] | 袁祥, 厉小梅. 干燥综合征发病免疫机制研究现状及靶向治疗策略进展[J]. 诊断学理论与实践, 2024, 23(03): 278-284. | 
| [7] | 苑晓雅, 张珂珂, 朱振航, 程昉, 赵福涛. 老年原发性干燥综合征的临床特征[J]. 内科理论与实践, 2023, 18(06): 400-403. | 
| [8] | 虞有超, 时国朝, 沈小雁, 朱雪梅. 结节病合并干燥综合征1例[J]. 内科理论与实践, 2023, 18(02): 99-101. | 
| [9] | 汤建平, 龚邦东. 干燥综合征的诊治现状、挑战和思考[J]. 诊断学理论与实践, 2022, 21(03): 291-298. | 
| [10] | 陆弘逾, 顾俊, 王静, 曹亚峰, 宋陆茜, 范俊, 陈梅. 干燥综合征继发隐球菌性脑膜脑炎一例报告及相关自身免疫病文献复习[J]. 诊断学理论与实践, 2021, 20(05): 456-461. | 
| [11] | 赵茜, 赵肖庆, 刁立诚, 孙菲, 郑捷, 朱雪梅, 曹华. 伴皮肤紫癜的原发性干燥综合征患者的临床特征分析[J]. 诊断学理论与实践, 2021, 20(02): 155-160. | 
| [12] | 王艳青, 黄琬雪, 梁媛媛, 吴珍珍, 王璇, 汤建平. 原发性干燥综合征患者合并周围神经病变的临床及实验室特点分析[J]. 诊断学理论与实践, 2019, 18(1): 51-55. | 
| [13] | 梁媛媛, 王璇, 汤建平. 干燥综合征合并肺间质病变的临床诊断治疗进展[J]. 诊断学理论与实践, 2018, 17(05): 606-610. | 
| [14] | 刘志蓉, 张添怿,. 一氧化二氮中毒致神经系统损害临床表现及防治展望[J]. 内科理论与实践, 2018, 13(05): 261-263. | 
| [15] | 龚邦东, 汤建平. 干燥综合征分类标准的时代演化及对临床诊断的指导价值[J]. 诊断学理论与实践, 2018, 17(03): 244-248. | 
| 阅读次数 | ||||||
| 全文 |  | |||||
| 摘要 |  | |||||