 
  
	内科理论与实践 ›› 2025, Vol. 20 ›› Issue (04): 322-327.doi: 10.16138/j.1673-6087.2025.04.12
        
               		王祎宁1a,2a, 陈楠楠2a, 程琳2b, 刘振华1b,2b, 郑晓燕2c, 徐静1a, 潘晓霞1a, 陈永熙1a( ), 陈晓农1a
), 陈晓农1a
                  
        
        
        
        
    
收稿日期:2024-11-05
									
				
									
				
									
				
											出版日期:2025-07-31
									
				
											发布日期:2025-10-27
									
			通讯作者:
					陈永熙 E-mail: 
        
               		WANG Yining1a,2a, CHEN Nannan2a, CHENG Lin2b, LIU Zhenhua1b,2b, ZHENG Xiaoyan2c, XU Jing1a, PAN Xiaoxia1a, CHEN Yongxi1a( ), CHEN Xiaonong1a
), CHEN Xiaonong1a
			  
			
			
			
                
        
    
Received:2024-11-05
									
				
									
				
									
				
											Online:2025-07-31
									
				
											Published:2025-10-27
									
			摘要:
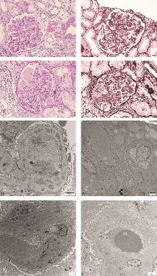
病例1为68岁男性,确诊肺恶性肿瘤3年,贝伐珠单抗治疗中出现蛋白尿,肾功能正常。病例2为70岁男性患者,确诊胃腺癌2年,予以奥沙利铂+亚叶酸钙+氟尿嘧啶方案化疗结束3个月出现蛋白尿,肾功能正常。2例患者肾活组织检查病理均提示血栓性微血管病样改变,治疗均予以沙库巴曲缬沙坦钠联合达格列净,治疗后蛋白尿不同程度下降,肾功能保持正常。
中图分类号:
王祎宁, 陈楠楠, 程琳, 刘振华, 郑晓燕, 徐静, 潘晓霞, 陈永熙, 陈晓农. 抗肿瘤药物所致血栓性微血管病样肾损伤2例[J]. 内科理论与实践, 2025, 20(04): 322-327.
WANG Yining, CHEN Nannan, CHENG Lin, LIU Zhenhua, ZHENG Xiaoyan, XU Jing, PAN Xiaoxia, CHEN Yongxi, CHEN Xiaonong. Renal thrombotic microangiopathy associated with chemotherapy: two case reports[J]. Journal of Internal Medicine Concepts & Practice, 2025, 20(04): 322-327.
| [1] | Izzedine H, Perazella MA. Thrombotic microangiopathy, cancer, and cancer drugs[J]. Am J Kidney Dis, 2015, 66(5):857-868. doi: 10.1053/j.ajkd.2015.02.340 pmid: 25943718 | 
| [2] | Selamet U, Ahdoot RS, Salasnek R, et al. 2024. Onconephrology: mitigation of renal injury in chemotherapy administration[J]. Curr Opin Nephrol Hypertens, 2024, 33(2):257-266. | 
| [3] | Raife TJ, Lager DJ. Chronic thrombotic microangiopathy associated with antineoplastic therapy with minimal hematologic effects[J]. Mayo Clin Proc, 2002, 77(4):323-328. pmid: 11936926 | 
| [4] | Eremina V, Jefferson JA, Kowalewska J, et al. VEGF inhibition and renal thrombotic microangiopathy[J]. N Engl J Med, 2008, 358(11):1129-1136. | 
| [5] | Gudsoorkar P, Ruf R, Adnani H, et al. Onco-hypertension: an emerging specialty[J]. Adv Chronic Kidney Dis, 2021, 28(5):477-489. | 
| [6] | Estrada CC, Maldonado A, Mallipattu SK. Therapeutic inhibition of VEGF signaling and associated nephrotoxicities[J]. J Am Soc Nephrol, 2019, 30(2):187-200. doi: 10.1681/ASN.2018080853 pmid: 30642877 | 
| [7] | Rinka K, Fujii H, Hagihara A, et al. A case of secondary immune thrombocytopenia induced by atezolizumab plus bevacizumab therapy for hepatocellular carcinoma resulting in death from intracranial hemorrhage[J]. Nihon Shokakibyo Gakkai Zasshi, 2024, 121(9):754-762. | 
| [8] | Stortz M, Shmanko K, Kraus D, et al. Plasma exchange for treatment of a therapy-related thrombotic microangiopathy in a patient with advanced hepatocellular carcinoma-a case report[J]. Clin Case Rep, 2023, 11(11):e8124. | 
| [9] | Yokoyama S, Kakeshita K, Imamura T, et al. Pegylated-liposomal doxorubicin-induced glomerular thrombotic microangiopathy[J]. Intern Med, 2024, 63(20):2839-2845. | 
| [10] | Muramatsu S, Fujiwara M, Kazunari K, et al. Pulmonary tumor thrombotic microangiopathy with versican expression in a patient with advanced gastric cancer: a case report of a rare autopsy[J]. Cureus, 2024, 16(7):e65690. | 
| [11] | Zhang Y, Yang F, Wang J, et al. Bevacizumab-induced immune thrombocytopenia in an ovarian cancer patient with mixed connective tissue disease: case report and literature review[J]. Front Immunol, 2024,15:1382964. | 
| [12] | Padilha WSC, Cesar BN, Pacheco ST, et al. Bevacizumab-associated thrombotic microangiopathy treated with eculizumab: a case report[J]. Am J Case Rep, 2023,24:e940906. | 
| [13] | Posado-Domínguez L, Chamorro AJ, Del Barco-Morillo E, et al. Cancer-associated thrombotic microangiopathy: literature review and report of five cases[J]. Life (Basel), 2024, 14(7):865. | 
| [14] | Zhao R, Fan R, Pan Y, et al. Fruquintinib-induced renal-limited thrombotic microangiopathy: a case report[J]. BMC Nephrol, 2024, 25(1):170. doi: 10.1186/s12882-024-03598-8 pmid: 38762494 | 
| [15] | Mateo FJP, Guasch AD, Pineda JAG, et al. Capecitabine-related thrombotic microangiopathy[J]. J Gastrointest Cancer, 2024, 55(2):965-968. doi: 10.1007/s12029-023-00993-6 pmid: 38175385 | 
| [16] | Harada S, Imakura T, Sato S, et al. A case of successful treatment with eltrombopag for severe immune-related thrombocytopenia induced by atezolizumab[J]. J Med Invest, 2023, 70(3.4):516-520. doi: 10.2152/jmi.70.516 pmid: 37940542 | 
| [17] | Shimada S, Kuroiwa K, Narita H, et al. Acquired thrombotic thrombocytopenic purpura during durvalumab monotherapy for non-small cell lung cancer[J]. Rinsho Ketsueki, 2024, 65(1):24-29. | 
| [18] | 蔡静静, 杨光霞, 张雪梅, 等. 信迪利单抗致肺癌患者免疫性血小板减少1例并文献复习[J]. 中国肺癌杂志, 2023, 26(9):717-720. | 
| Cai JJ, Yang GX, Zhang XM, et al. Immune thrombocytopenia induced by sintilimab in lung cancer: a case report and literature review[J]. Chin J Lung Cancer, 2023, 26(9):717-720. | |
| [19] | Patel SS, Shan HY. Renal-limited thrombotic microangiopathy in a patient who received gemcitabine, ramucirumab, and pembrolizumab: a case report and literature review[J]. Cureus, 2024, 16(2):e53669. | 
| [20] | Hsu PC, Chen TD, Tsai TY, et al. Bevacizumab-induced thrombotic microangiopathy (TMA) in metastatic lung adenocarcinoma patients receiving nivolumab combined with bevacizumab, carboplatin and paclitaxel: two case reports[J]. Clin Pract, 2023, 13(1):200-205. | 
| [21] | Sekiguchi Y, Nishimura Y, Kanda H, et al. A case of immune thrombocytopenia occurring after radiotherapy plus atezolizumab treatment for bladder cancer[J]. Gan To Kagaku Ryoho, 2023, 50(9):985-992. pmid: 37800294 | 
| [22] | Meseha M, Qu D, Lykon J, et al. Carfilzomib-induced thrombotic microangiopathy (TMA) refractory to eculizumab: a case report and literature review[J]. Ann Hematol, 2024, 103(10):4313-4317. doi: 10.1007/s00277-024-05965-9 pmid: 39191958 | 
| [23] | Fang W, Sun W, Fang W, et al. Clinical features, treatment, and outcomes of patients with carfilzomib induced thrombotic microangiopathy[J]. Int Immunopharmacol, 2024,134:112178. | 
| [24] | Ponraj R, Bryant A, Dunlop L, et al. Carfilzomib-induced thrombotic microangiopathy (TMA): an under-recognised spectrum of disease from microangiopathic haemolysis to subclinical TMA[J]. Blood Cancer J, 2023, 13(1):113. doi: 10.1038/s41408-023-00885-9 pmid: 37495597 | 
| [25] | Catanese L, Link K, Rupprecht H. Microangiopathy in multiple myeloma: a case of carfilzomib-induced secondary thrombotic microangiopathy successfully treated with plasma exchange and complement inhibition[J]. BMC Nephrol, 2023, 24(1):179. doi: 10.1186/s12882-023-03228-9 pmid: 37337151 | 
| [26] | Singh L, Matassa D, Li S. A case of acute kidney injury, proteinuria, and thrombotic microangiopathy associated with sunitinib therapy in metastatic pancreatic neuroendocrine tumor[J]. Cureus, 2024, 16(3):e56660. | 
| [27] | Nieto-Ríos JF, García-Prada CA, Aristizabal-Alzate A, et al. Nephrotic syndrome as a manifestation of thrombotic microangiopathy due to long-term use of sunitinib[J]. Nefrologia (Engl Ed), 2022, 42(6):722-726. | 
| [28] | Contreras Angulo M, García Izquierdo B, Armengod Grao L, et al. Thrombotic microangiopathy associated with lenvatinib therapy[J]. Endocr Oncol, 2023, 3(1):e220078. | 
| [29] | Takemoto K, Makino T, Kagoyama K, et al. Immune thrombocytopenic purpura caused by immune checkpoint inhibitors for uveal malignant melanoma[J]. J Dermatol, 2023, 50(9):e292-e294. | 
| [30] | Anil V, Alhujaily E, Grover D, et al. Gemcitabine-induced thrombotic microangiopathy in a patient with cholangiocarcinoma: an atypical case[J]. Cureus, 2024, 16(6):e63385. | 
| [31] | Glezerman I, Salvatore S, Tap W, et al. Pegylated liposomal doxorubicin causes kidney-limited thrombotic microangiopathy[J]. Am J Kidney Dis, 2024, 83(4):549-553. | 
| [32] | Gudsoorkar P, Abudayyeh A, Tchakarov A, et al. Onconephrology and thrombotic microangiopathy: looking beyond the horizon[J]. Semin Nephrol, 2022, 42(6):151345. | 
| [33] | Lechner K, Obermeier HL. Cancer-related microangiopathic hemolytic anemia: clinical and laboratory features in 168 reported cases[J]. Medicine (Baltimore), 2012, 91(4):195-205. | 
| [34] | Murgo AJ. Thrombotic microangiopathy in the cancer patient including those induced by chemotherapeutic agents[J]. Semin Hematol, 1987, 24(3):161-177. pmid: 3310241 | 
| [35] | Tsantes AG, Petrou E, Tsante KA, et al. Cancer-associated thrombosis: pathophysiology, laboratory assessment, and current guidelines[J]. Cancers (Basel), 2024, 16(11):2082. | 
| [36] | Zupancic M, Shah PC, Shah-Khan F. Gemcitabine-associated thrombotic thrombocytopenic purpura[J]. Lancet Oncol, 2007, 8(7):634-641. doi: 10.1016/S1470-2045(07)70203-6 pmid: 17613425 | 
| [37] | Kasper S, Neurath MF, Huber C, et al. Protein A immunoadsorption therapy for refractory, mitomycin C-associated thrombotic microangiopathy[J]. Transfusion, 2007, 47(7):1263-1267. doi: 10.1111/j.1537-2995.2007.01266.x pmid: 17581162 | 
| [38] | Bharthuar A, Egloff L, Becker J, et al. Rituximab-based therapy for gemcitabine-induced hemolytic uremic syndrome in a patient with metastatic pancreatic adenocarcinoma: a case report[J]. Cancer Chemother Pharmacol, 2009, 64(1):177-181. | 
| [39] | Onitilo AA, Engel JM, Clouse LH, et al. Successful treatment of mitomycin-induced thrombotic thrombocytopenic purpura with rituximab[J]. J Vasc Interv Radiol, 2009, 20(2):275-276. doi: 10.1016/j.jvir.2008.10.025 pmid: 19054690 | 
| [40] | Nishijima Y, Hirata H, Himeno A, et al. Drug-induced thrombotic thrombocytopenic purpura successfully treated with recombinant human soluble thrombomodulin[J]. Intern Med, 2013, 52(10):1111-1114. | 
| [1] | 史浩, 王朝晖. 多发性骨髓瘤肾损伤治疗策略:新药和新疗法[J]. 内科理论与实践, 2025, 20(03): 185-190. | 
| [2] | 王雪洁, 陈孜瑾, 杜雯, 顾飞飞, 俞海瑾, 张文, 陈晓农. 不同病原菌致血流感染相关急性肾损伤的危险因素分析[J]. 内科理论与实践, 2021, 16(01): 22-26. | 
| [3] | 田芮, 刘嘉琳, 瞿洪平,. 脓毒症合并急性肾损伤患者血清血管生成素2、正五聚蛋白3水平的研究[J]. 内科理论与实践, 2019, 14(05): 313-316. | 
| [4] | 王一梅, 滕杰, 沈波, 许佳瑞, 姜物华, 於佳炜, 胡家昌, 丁小强. 院内实时监控系统显著提高住院急性肾损伤患者识别率[J]. 诊断学理论与实践, 2017, 16(06): 596-600. | 
| [5] | 丁峰, 张琪, 马绍骏, 王文姬. 急性肾损伤的诊断新进展认识[J]. 诊断学理论与实践, 2017, 16(04): 347-352. | 
| [6] | 赵峰波, 李田静, 赵红, 郭加旺, 张建国,. 肾病专科医院住院患者发生急性肾损伤356例临床分析[J]. 内科理论与实践, 2015, 10(03): 177-180. | 
| [7] | 邹彦芳, 张文, 陈楠,. MicroRNA在急性肾损伤中的研究进展[J]. 诊断学理论与实践, 2013, 12(04): 478-482. | 
| [8] | 李艳秀, 王勇, 左祥荣, 曹权,. 早期短时静脉-静脉血液透析滤过对重症急性胰腺炎病人合并急性肾损伤的治疗[J]. 外科理论与实践, 2012, 17(06): 673-677. | 
| [9] | 张璐, 陈楠,. 尿液生物标志物在急性肾损伤早期诊断中的价值[J]. 诊断学理论与实践, 2011, 10(06): 575-579. | 
| [10] | 那宇, 高月花, 韦加美,. 急性肾损伤分期及生物标志物[J]. 诊断学理论与实践, 2011, 10(03): 207-209. | 
| [11] | 王鹏飞, 沈玲红, 何奔,. 急性肾损伤生物标志物研究进展[J]. 内科理论与实践, 2010, 5(03): 268-272. | 
| [12] | 滕杰, 丁小强,. 急性肾损伤的定义、诊断及治疗现状[J]. 诊断学理论与实践, 2007, 6(06): 485-488. | 
| [13] | 张训,. 脓毒血症急性肾损伤与连续肾脏替代治疗[J]. 内科理论与实践, 2007, 2(06): 380-383. | 
| 阅读次数 | ||||||
| 全文 |  | |||||
| 摘要 |  | |||||